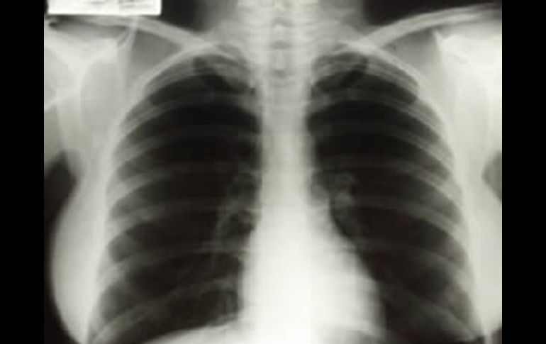
Entretenimiento | La subasta tuvo lugar este fin de semana en Las Vegas, Nevada Fueron vendidas radiografías de Monroe en 45 mil dólares Estas placas que muestran la caja torácica de la actriz fueron tomadas dos semanas después de su divrocio con el jugador Joe DiMaggio Por: EFE 28 de junio de 2010 - 12:05 hs Fueron tres radiografías que se subastaron junto con artículos de otros famosos personajes. AP / LOS ÁNGELES, ESTADOS UNIDOS (28/JUN/2010).- Tres radiografías tomadas a Marilyn Monroe dos semanas después de su divorcio del jugador de béisbol Joe DiMaggio fueron vendidas por 45 mil dólares este fin de semana en una subasta en Las Vegas, Nevada. Las imágenes clínicas mostraban la caja torácica de la actriz así como uno de sus costados y alcanzaron en la puja un precio hasta 10 veces superior a lo estimado por la casa de subastas Julien's Auctions, que organizó el evento. Las radiografías correspondieron a una visita al hospital Cedars of Lebanon de Los Ángeles en noviembre de 1954, 6 años antes de su fallecimiento. Entre los objetos subastados este fin de semana en Las Vegas estuvo un guante con cristales de Swarovski que llevó Michael Jackson en su gira Victory Tour en 1984, que se vendió por 190 mil dólares, así como el traje de Superman que vistió Christopher Reeve en la cuarta entrega de la clásica saga del superhéroe. El atuendo de "Superman VI" alcanzó 32 mil 500 dólares en la puja, mientras que un vestido de Audrey Hepburn en la película "Funny Face" (1957) se despachó por 56 mil 250 dólares. Temas Subastas Actor- Actriz Marilyn Monroe Lee También La diva del cine de oro, Elsa Aguirre, comparte conmovedor mensaje vía Facebook Marina de Tavira deslumbra en 'Un tranvía llamado deseo', alista funciones en Guadalajara Terence Stamp: Muere el actor británico a los 87 años ¿Cómo se habrían reconciliado Yolanda Andrade y Verónica Castro? Recibe las últimas noticias en tu e-mail Todo lo que necesitas saber para comenzar tu día Registrarse implica aceptar los Términos y Condiciones