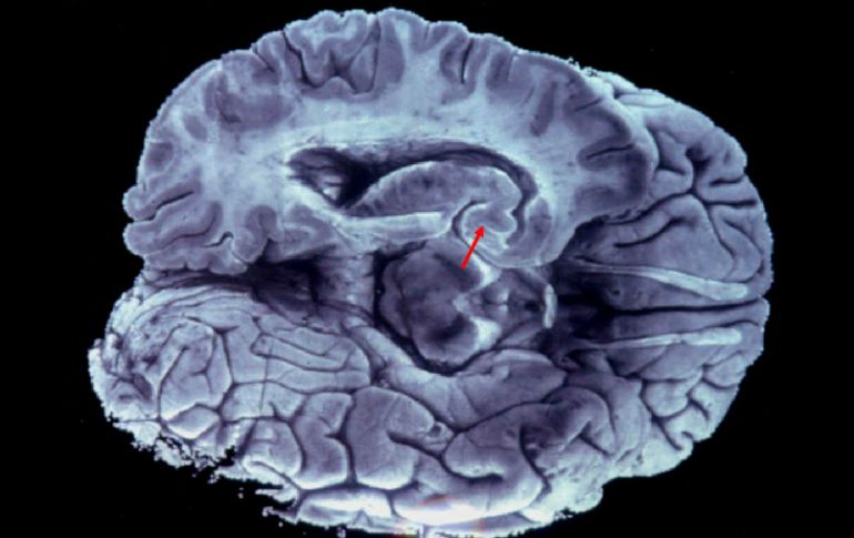
Suplementos | Destacan la importancia de mantener una alimentación adecuada Expertos llaman a prevenir enfermedades neurodegenerativas Destacan la importancia de mantener una alimentación adecuada Por: NTX 18 de octubre de 2015 - 12:54 hs Las células neuronales no se regeneran y esto se ha visto en el hipocampo. EFE / ARCHIVO CIUDAD DE MÉXICO (18/OCT/2015).- Con el avance de edad en la población y para evitar el incremento en las cifras de enfermedades como Alzheimer y el Parkinson es necesario tomar las medidas de salud necesarias para prevenirlas. Ante esta situación, en el Monumento a la Revolución se realizan este domingo distintas actividades en el evento "Alzheimer, aprende y actúa" para informar a la población sobre estos padecimientos. El neurocirujano José Figueroa Gutiérrez destacó la importancia de mantener una alimentación adecuada basada en productos naturales, y muy importante, reducida en carbohidratos además de agregar el uso de antioxidantes para evitar este padecimiento. En entrevista agregó que también es necesaria la actividad física y principalmente un estilo de vida que evite el estrés crónico ya que este es muy dañino para el cerebro y sus órganos. El investigador de la Facultad de Medicina de la UNAM abundó que también es necesario mantener activo al cerebro mediante prácticas que de preferencia brinden un beneficio adicional como aprender otro idioma, tocar un instrumento o incluso realizar crucigramas o leer. Manifestó que ya se ha demostrado y eliminado el mito de que las células neuronales no se regeneran y esto se ha visto en el hipocampo, región cerebral que si se activa en forma intensa se puede dar esta regeneración. Para esto el Banco Nacional de Cerebros del Centro de Investigación y de Estudios Avanzados (Cinvestav) en el que también colabora se realiza trabajo de investigación sobre el Alzheimer y tiene una muestra de cerebros tanto sanos como enfermos en este evento para que la gente conozca de manera física este padecimiento. La química farmacobióloga Berenice Dionisio, alumna de quien coordina este banco, José Luna, mostró en un corte cerebral las afectaciones por esta enfermedad en la que el tamaño del cerebro se encuentra disminuido así como el hipocampo, que es el encargado de los recursos a corto y largo plazo. Añadió que también las circunvalaciones del cerebro disminuyen debido a la muerte neuronal que se va relacionando con esta enfermedad. En el evento que concluirá este domingo los asistentes podrán encontrar talleres y pláticas así como obras de teatro e información sobre cómo tratar y cuidar a los pacientes. Temas Enfermedades Cerebro Alzheimer Calor de hogar Salud general Lee También Bajan lluvias el sábado en Guadalajara, pero se mantiene nublado La edad de riesgo de padecer un trastorno mental, según expertos ¿Cuál es la diferencia entre los celos y la enfermedad de celotipia? ¿Cuánto tarda una persona con depresión en llegar al tratamiento? Recibe las últimas noticias en tu e-mail Todo lo que necesitas saber para comenzar tu día Registrarse implica aceptar los Términos y Condiciones