1 Jalisco Promoverán juicio para proteger los derechos de mujeres en contienda electoral de Zapopan 2027
5 Jalisco Policía Estatal de Caminos asegura estar tranquila tras hallazgo de presuntos pagos del CNG
México ¿Quién es y de qué se le acusa a Genaro García Luna? 17 de enero de 2023 - 11:15 hs Genaro García Luna Juicios
Internacional Copiloto del accidente de Nepal perdió a su marido en otro avionazo hace 16 años 17 de enero de 2023 - 07:15 hs BBC BBC News Mundo
Estilo ¿Abdomen inflamado? Así puedes prevenirlo 16 de enero de 2023 - 14:00 hs Alimentos Alimentación
Entretenimiento El gran discurso de Brendan Fraser tras ganar por su primer papel en 12 años 16 de enero de 2023 - 12:51 hs BBC News Mundo Brendan Fraser
Tecnología Las estrellas huérfanas que vagan entre las galaxias como "almas perdidas" 16 de enero de 2023 - 08:52 hs BBC Astronomía
Entretenimiento Qué miembros de la familia real salen peor parados en la autobiografía de Harry 16 de enero de 2023 - 08:07 hs BBC News Mundo Realeza
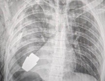
Internacional ¡Increíble! Extraen granada del pecho a un soldado ucraniano sin que explotara 12 de enero de 2023 - 16:57 hs BBC BBC News Mundo
Entretenimiento Guillermo del Toro: 3 hitos en la carrera del director mexicano 11 de enero de 2023 - 12:57 hs BBC News Mundo Guillermo del Toro
Tecnología ¡Cuidado! Las medicinas que no debes mezclar con alcohol 9 de enero de 2023 - 08:24 hs BBC News Mundo Salud