Tecnología
Descubren 'atajo' que usa el cerebro para advertir de riesgos
La investigación ayudará a entender mejor trastornos como la ansiedad o las fobias
MADRID, ESPAÑA (13/JUN/2016).- Un equipo internacional de científicos ha descubierto que, ante situaciones peligrosas o que puedan suponer una amenaza para nuestra vida, el
cerebro usa un "atajo" para enviar una alarma "ultrarrápida" a la amígdala, el área encargada de procesar, entre otras emociones, el miedo.
La investigación, publicada en Nature Neuroscience, ayudará a entender mejor trastornos como la ansiedad o las fobias, y otras enfermedades actualmente difíciles de tratar.
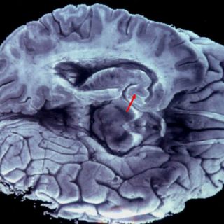
La amígdala es una de las partes más profundas del cerebro, que, desde el punto de vista evolutivo cuenta con estructuras subcorticales antiguas, como, además de la amígdala, el hipocampo, y otras posteriores como la corteza, la parte externa que cubre los dos hemisferios.
"El circuito que llega a la amígdala es como la calzada de una ciudad romana. Sobre ella han pasado muchas otras civilizaciones pero todavía sigue en uso", indicó Bryan Strange, director del Laboratorio de Neurociencia Clínica del Centro de Tecnología Biomédica de la Universidad Politécnica de Madrid (CTB-UPM) y autor principal del estudio.
Esta parte del cerebro es la encargada de procesar el miedo y la mayor parte de las emociones de carga negativa como la ira.
"Cuando vemos imágenes de algo que puede ser una amenaza, la amígdala se activa, una actividad que se puede medir con resonancias funcionales y otras técnicas de neuroimagen", explicó Strange.
Sin embargo, dado que la amígdala es una estructura muy profunda del cerebro, estas técnicas carecen de la resolución suficiente para ver cómo funciona el proceso. Hacen falta otras técnicas, como el uso de electrodos implantados en esta región cerebral.
En el estudio publicado en Nature Neuroscience, los investigadores contaron con la colaboración de once pacientes en tratamiento por epilepsia, que durante una semana llevaron implantes de electrodos que registraban toda su actividad cerebral.
Supervisados por el doctor Antonio Gil-Nagel, coautor del estudio y neurólogo del hospital Rúber Internacional, los pacientes colaboraron en dos experimentos.
En el primero, se les mostró imágenes de caras con expresión neutra, de miedo y de felicidad.
"Cuando vieron las imágenes de caras con miedo, observamos que la actividad de la amígdala se encendía súper rápido, a unos 70 milisegundos, es decir, la amígdala detectaba una amenaza en tiempo récord", cuenta Strange.
Al mismo tiempo, los investigadores registraron la actividad en la corteza visual de esos pacientes y vieron que en este área del cerebro, tras ver las caras de miedo, la señal de respuesta tardó 170 milisegundos en llegar, es decir, cien milisegundos más tarde que a la amígdala, "un tiempo que en el cerebro es una eternidad", puntualiza Strange.
En un segundo experimento, los pacientes vieron escenas desagradables pero que no implicaban peligro.
En este caso, la actividad en la amígdala tardó unos 200 milisegundos, lo que significa que el cerebro sólo utiliza el atajo "para estímulos que representan una amenaza", concluye.
Este atajo neuronal es un circuito neuronal formado por células del tipo "magnocelular", las más rápidas llevando información al cerebro, incluso aunque sean de baja frecuencia, mala calidad o borrosas, explicó Strange.
La investigación concluye que este circuito neuronal es el encargado de transmitir la información más urgente para la supervivencia, y que lo hace a tal velocidad que es una "reacción automática que no se puede controlar conscientemente".
Saber esto, ayudará a entender y tratar enfermedades como la ansiedad o las fobias, porque "es importante saber que hay mecanismos que no son controlables bajo nuestra voluntad consciente y que se transmiten al cerebro a tal velocidad que son algo automático".
La investigación, publicada en Nature Neuroscience, ayudará a entender mejor trastornos como la ansiedad o las fobias, y otras enfermedades actualmente difíciles de tratar.
La amígdala es una de las partes más profundas del cerebro, que, desde el punto de vista evolutivo cuenta con estructuras subcorticales antiguas, como, además de la amígdala, el hipocampo, y otras posteriores como la corteza, la parte externa que cubre los dos hemisferios.
"El circuito que llega a la amígdala es como la calzada de una ciudad romana. Sobre ella han pasado muchas otras civilizaciones pero todavía sigue en uso", indicó Bryan Strange, director del Laboratorio de Neurociencia Clínica del Centro de Tecnología Biomédica de la Universidad Politécnica de Madrid (CTB-UPM) y autor principal del estudio.
Esta parte del cerebro es la encargada de procesar el miedo y la mayor parte de las emociones de carga negativa como la ira.
"Cuando vemos imágenes de algo que puede ser una amenaza, la amígdala se activa, una actividad que se puede medir con resonancias funcionales y otras técnicas de neuroimagen", explicó Strange.
Sin embargo, dado que la amígdala es una estructura muy profunda del cerebro, estas técnicas carecen de la resolución suficiente para ver cómo funciona el proceso. Hacen falta otras técnicas, como el uso de electrodos implantados en esta región cerebral.
En el estudio publicado en Nature Neuroscience, los investigadores contaron con la colaboración de once pacientes en tratamiento por epilepsia, que durante una semana llevaron implantes de electrodos que registraban toda su actividad cerebral.
Supervisados por el doctor Antonio Gil-Nagel, coautor del estudio y neurólogo del hospital Rúber Internacional, los pacientes colaboraron en dos experimentos.
En el primero, se les mostró imágenes de caras con expresión neutra, de miedo y de felicidad.
"Cuando vieron las imágenes de caras con miedo, observamos que la actividad de la amígdala se encendía súper rápido, a unos 70 milisegundos, es decir, la amígdala detectaba una amenaza en tiempo récord", cuenta Strange.
Al mismo tiempo, los investigadores registraron la actividad en la corteza visual de esos pacientes y vieron que en este área del cerebro, tras ver las caras de miedo, la señal de respuesta tardó 170 milisegundos en llegar, es decir, cien milisegundos más tarde que a la amígdala, "un tiempo que en el cerebro es una eternidad", puntualiza Strange.
En un segundo experimento, los pacientes vieron escenas desagradables pero que no implicaban peligro.
En este caso, la actividad en la amígdala tardó unos 200 milisegundos, lo que significa que el cerebro sólo utiliza el atajo "para estímulos que representan una amenaza", concluye.
Este atajo neuronal es un circuito neuronal formado por células del tipo "magnocelular", las más rápidas llevando información al cerebro, incluso aunque sean de baja frecuencia, mala calidad o borrosas, explicó Strange.
La investigación concluye que este circuito neuronal es el encargado de transmitir la información más urgente para la supervivencia, y que lo hace a tal velocidad que es una "reacción automática que no se puede controlar conscientemente".
Saber esto, ayudará a entender y tratar enfermedades como la ansiedad o las fobias, porque "es importante saber que hay mecanismos que no son controlables bajo nuestra voluntad consciente y que se transmiten al cerebro a tal velocidad que son algo automático".