Martes, 29 de Abril 2025

Neuralink: Primer paciente logra controlar un mouse con la mente

"El progreso es bueno y el paciente parece haberse recuperado por completo", señaló Elon Musk

Por: SUN .

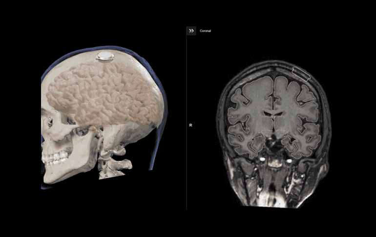
De acuerdo con el CEO de Neuralink, la compañía busca brindar la oportunidad a los pacientes de mover el mouse en varias direcciones. ESPECIAL / NEURALINK

De acuerdo con el CEO de Neuralink, la compañía busca brindar la oportunidad a los pacientes de mover el mouse en varias direcciones. ESPECIAL / NEURALINK

Hace menos de un mes, Elon Musk confirmó que Neuralink había implantado el primer chip cerebral en un paciente humano.

Hoy dio la noticia que después de haberse recuperado completamente, ya es capaz de controlar un mouse de computadora con ayuda de su mente.

"El progreso es bueno y el paciente parece haberse recuperado por completo, sin efectos nocivos que sepamos. El paciente puede mover el mouse por la pantalla con solo pensar", afirmó Musk en un evento de Spaces en la plataforma de X.

De acuerdo con el CEO de Neuralink, la compañía busca brindar la oportunidad a los pacientes de mover el mouse en varias direcciones y lograr apretar alguno de los botones solo con su mente. 

"Estamos tratando de presionar tantos botones como sea posible desde el pensamiento, así que eso es en lo que estamos trabajando actualmente", señaló. 

*Mantente al día con las noticias, únete a nuestro canal de WhatsApp aquí: https://whatsapp.com/channel/0029VaAf9Pu9hXF1EJ561i03

MV

Temas

Lee También

Recibe las últimas noticias en tu e-mail

Todo lo que necesitas saber para comenzar tu día

Registrarse implica aceptar los Términos y Condiciones