Deportes

Estudio revela daño cerebral en ex jugadores de la NFL

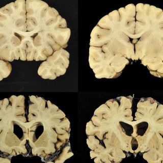
Tras analizar cerebros de algunos fallecidos, detectan encefalopatía traumática crónica

CIUDAD DE MÉXICO (25/JUL/2017).- En un estudio que realizo la neuropatóloga Ann Mckee a cerebros de ex jugadores de la NFL fallecidos, habría encontrado que en 110 de las 111 muestras existía encefalopatía traumática crónica, o CTE, la enfermedad degenerativa que se cree es causada por golpes repetidos a la cabeza.

La investigación publicada hoy en The Journal of the American Medical Association y retomada por  periódico The New York Times describe que en total fueron tomados 202 casos, 111 de ellos ex elementos de la NFL como el miembro del Salón de la Fama Ken Stabler y algunos otros reconocidos atletas que sus familias pidieron no ser identificados.

De los 110 cerebros diagnosticados con CTE, 44 corresponden a personas que se desempeñaron como linieros, 20 corredores, 17 defensivos profundos, 13 linebackers, siete quarterbacks e incluso un pateador.

Ronnie Caveness, un linebacker para los Petroleros de Houston y Jefes de Kansas City fue un caso positivo. En la universidad, ayudó a los Cerdos Cimarrones de Arkansas a quedar invicto en 1964. Uno de sus compañeros de equipo era Jerry Jones, ahora el dueño de los Vaqueros de Dallas. Jones ha rechazado el vínculo entre el futbol  americano y el CTE.

El CTE tiene como síntomas mareos, incluyendo pérdida de memoria, confusión, depresión y demencia. Los problemas pueden surgir años después del último golpe recibido.

La doctora  Mckee, jefe de neuropatología del VA Boston Healthcare System y director del Centro CTE de la Universidad de Boston, ha acumulado el mayor banco de CTE del mundo. Pero los cerebros de algunos otros jugadores que se encontró que tienen la enfermedad -como Junior Seau, Mike Webster y Andre Waters- fueron examinados en otros lugares.

Recientemente Warren Sapp, integrante del Salón de la Fama de la NFL, confesó que padece de pérdida de la memoria y que donará su cerebro cuando muera para que la ciencia pueda estudiar los traumas cerebrales que provocan los golpes en la cabeza del futbol americano.

Temas

Sigue navegando