Entretenimiento
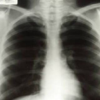
Fueron vendidas radiografías de Monroe en 45 mil dólares
Estas placas que muestran la caja torácica de la actriz fueron tomadas dos semanas después de su divrocio con el jugador Joe DiMaggio
LOS ÁNGELES, ESTADOS UNIDOS (28/JUN/2010).- Tres radiografías tomadas a Marilyn Monroe dos semanas después de su divorcio del jugador de béisbol Joe DiMaggio fueron vendidas por 45 mil dólares este fin de semana en una subasta en Las Vegas, Nevada.
Las imágenes clínicas mostraban la caja torácica de la actriz así como uno de sus costados y alcanzaron en la puja un precio hasta 10 veces superior a lo estimado por la casa de subastas Julien's Auctions, que organizó el evento.
Las radiografías correspondieron a una visita al hospital Cedars of Lebanon de Los Ángeles en noviembre de 1954, 6 años antes de su fallecimiento.
Entre los objetos subastados este fin de semana en Las Vegas estuvo un guante con cristales de Swarovski que llevó Michael Jackson en su gira Victory Tour en 1984, que se vendió por 190 mil dólares, así como el traje de Superman que vistió Christopher Reeve en la cuarta entrega de la clásica saga del superhéroe.
El atuendo de "Superman VI" alcanzó 32 mil 500 dólares en la puja, mientras que un vestido de Audrey Hepburn en la película "Funny Face" (1957) se despachó por 56 mil 250 dólares.
Las imágenes clínicas mostraban la caja torácica de la actriz así como uno de sus costados y alcanzaron en la puja un precio hasta 10 veces superior a lo estimado por la casa de subastas Julien's Auctions, que organizó el evento.
Las radiografías correspondieron a una visita al hospital Cedars of Lebanon de Los Ángeles en noviembre de 1954, 6 años antes de su fallecimiento.
Entre los objetos subastados este fin de semana en Las Vegas estuvo un guante con cristales de Swarovski que llevó Michael Jackson en su gira Victory Tour en 1984, que se vendió por 190 mil dólares, así como el traje de Superman que vistió Christopher Reeve en la cuarta entrega de la clásica saga del superhéroe.
El atuendo de "Superman VI" alcanzó 32 mil 500 dólares en la puja, mientras que un vestido de Audrey Hepburn en la película "Funny Face" (1957) se despachó por 56 mil 250 dólares.